건강검진 결과표를 펼쳤는데 낯선 단어 하나가 눈에 띕니다.
바로 "폐결절 의심 소견". 대부분의 사람은 그 순간 머릿속에 '혹시 암?'이라는 두 글자가 떠오르죠.
하지만 결론부터 말씀드리면, 폐결절은 '무조건 수술'과는 거리가 먼 이야기입니다.
오늘은 이 폐결절이라는 낯설고 무서운 단어에 대해, 그리고 왜 추적관찰이 중요한지를 낱낱이 파헤쳐드릴게요.
목차

폐결절이란?
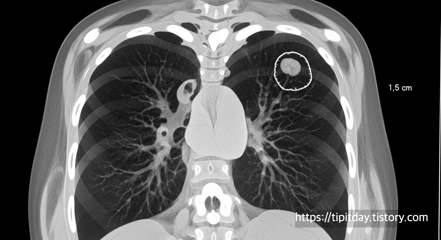
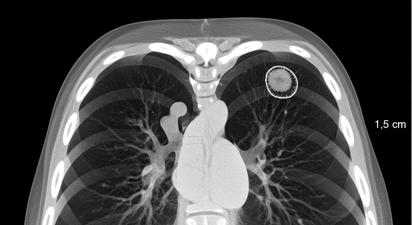
폐결절은 폐 내부에 생긴 지름 3cm 이하의 고립된 음영(덩어리)을 말합니다.
CT나 X-ray 검사에서 작은 동그라미처럼 보이며, 보통은 증상이 없습니다.
모양, 경계, 음영 정도에 따라 '고형 결절', '유리음영(GGO)', '부분 고형' 등으로 분류됩니다.



건강검진 CT에서 약 20~30%의 사람에게서 발견됩니다.
즉, 드문 일이 아니라는 것이죠.
악성 가능성? 대부분은 양성입니다
폐결절을 암과 바로 연결 짓는 경우가 많지만, 실제로는 대부분 양성입니다.
양성 폐결절의 원인에는 다음이 포함됩니다:
- 과거 폐렴 또는 결핵의 흉터
- 염증 반응 후 남은 조직 변화
- 석회화된 양성 종양
- 혈관 구조의 이상 음영
악성(폐암 등)일 가능성은 낮지만,
결절의 크기나 성장 속도에 따라 판단이 달라질 수 있어 정기적인 추적검사가 필요한 이유입니다.



폐결절 검사과정, 이렇게 진행됩니다
폐결절이 의심될 경우, 병원에서는 단계적으로 다음과 같은 검사를 진행합니다.
- 흉부 X-ray – 가장 기본적인 검사, 결절 존재 여부 확인
- 저선량 흉부 CT – 결절의 크기, 경계, 형태 정밀 확인
- PET-CT – 결절의 대사활동 파악 (악성 가능성 판단)
- 조직검사 (생검) – 필요시 시행, 암세포 유무 확인
단계적으로 접근하며 필요 시 정밀 검사까지 이어지지만,
크기나 모양이 안정적이면 바로 조직검사로 넘어가지 않는 경우가 대부분입니다.



폐결절 환자를 위한 생활 관리 팁
폐결절이 있다고 해서 특별한 치료가 필요한 것은 아니지만, 생활 속 관리가 매우 중요합니다.
특히 흡연 여부와 환경 오염 노출은 결절의 성장을 유도할 수 있어 주의가 필요하죠.
- 🚭 금연 필수 – 흡연은 결절 악성화의 가장 큰 원인입니다.
- 😷 미세먼지 많은 날 KF94 마스크 착용
- 🌬️ 실내 공기질 관리 – 공기청정기 필터 교체 주기 체크
- 📋 정기 검진 및 영상 자료 보관 – CT 결과는 파일로 저장해두기
- 🥗 면역력 관리 – 비타민C, 항산화 성분이 풍부한 식단



□ 실내 흡연자 없는가?
□ 직업적으로 유해물질 노출이 있는가?
□ 매년 저선량 CT를 받을 계획이 있는가?
□ 결절 관련 병력과 CT 기록을 잘 모아두고 있는가?
자주 묻는 질문 (FAQ)
A1. 아닙니다. 약 90% 이상은 양성(무해한 결절)이며, 과거 염증 또는 흉터 조직일 수 있습니다.
A2. 크기뿐만 아니라 모양, 성장 속도, PET-CT 결과 등을 종합해 판단합니다. 단순히 커졌다고 바로 수술하지는 않습니다.
A3. 크기와 위험도에 따라 다릅니다. 보통 6개월~12개월 간격으로 CT 촬영을 권장합니다.
겁먹기보다 관리하자
처음 폐결절이라는 단어를 들었을 때 불안한 마음이 드는 건 당연합니다.
하지만 중요한 건, 대부분 양성이고 치료보다 ‘관찰’이 우선이라는 사실을 아는 것만으로도
불필요한 걱정을 줄일 수 있습니다.
혹시 최근 건강검진에서 폐결절 소견을 받으셨다면, 지금 당장 병원의 조언을 따라
주기적인 추적검사 일정을 세워보세요.


참고문헌
- 대한영상의학회 폐결절 진료지침 (2022)
- 국립암센터 – 폐암 정보센터
- 질병관리청 국가건강정보포털 – 폐질환 항목
- 서울아산병원 건강정보 – 폐결절 관련 자료
- 삼성서울병원 폐암센터 웹사이트
'건강정보TIP' 카테고리의 다른 글
| 망막색소변성증 증상은? 검사부터 관리까지 꼭 알아야 할 모든 것 (0) | 2025.10.29 |
|---|---|
| 폐경 후 골다공증 자가진단부터 예방법까지 총정리 (0) | 2025.10.28 |
| 피부·다이어트·혈관까지! 아몬드 하나로 완성되는 건강 루틴 (0) | 2025.10.24 |
| “목소리가 자꾸 쉬어요”… 후두암 초기증상, 이 신호를 놓치면 안 됩니다 (0) | 2025.10.23 |
| 양배추 효능 7가지, 위장부터 피부까지 달라지는 변화 (0) | 2025.10.22 |